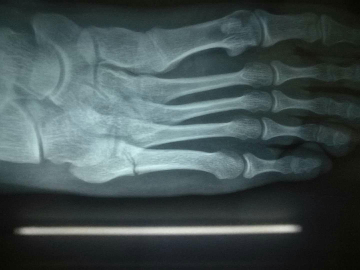
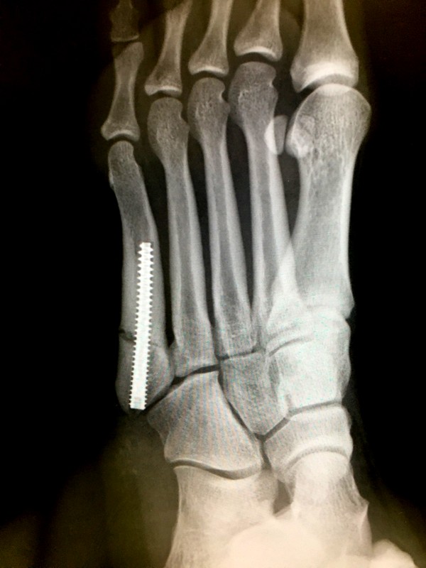
2020年年明けに左足の第五中足骨を骨折しました。結論から言うと手術し骨にボルトを埋め込みました。手術の結果、痛みが小さくなり運動等ができるようになりました。一方で折れた骨は骨片がくっついて再生することなく離れたままの状態で安定しました。治療期間約3か月、ここでは骨折.. 第5中足骨骨折とも呼ばれているジョーンズ骨折は、ジャンプによる動作やランニングなどのスポーツシーンに起こりやすい障害のことを言い、一般的な骨折に比べると自覚症状が出にくいケースがあります。 今回はジョーンズ骨折(第5中足骨骨折)の原因や主な治療法、症状や経過だけでなく.

ゲタ骨折(第5中足骨基部骨折) 大平鍼灸整骨院 院長 大平太郎のブログ

第5中足骨骨折 115日目 LePlainSoleil

左脚第五跖骨骨折? 知乎

足の小指の骨折> 更新情報 まる接骨院

第5中足骨骨折 あなたの体の痛み解決します。 さくら堂篠崎接骨院鍼灸院

左第5中足骨 疲労骨折 馬のしっぽ

【2024年】第五中足骨骨折完治!足の指の甲が骨折してから歩ける全治までの経過ブログ。歩き方は? たこみそ

Jones(ジョーンズ)骨折(第5中足骨基部骨折)とは|原因から治療まで解説! 目指せスポーツドクター|サッカー日本代表チームドクターを目指して

第五趾骨基底部骨折和永存性骨骼鉴别 知乎

足の指が痛い15(第5趾中節骨骨折)
.jpg)
左第5中足骨下駄骨折(基底部剥離骨折)ー宇治市 六地蔵 みやもと整骨院|宇治市六地蔵駅(伏見・山科)最寄りのみやもと整骨院

第五趾跖骨骨折多久可以走路? 知乎
日曜日に左第5中足骨骨折の中学生が来院|骨折|スタッフブログ|鎌倉市のスポーツ外傷・怪我治療なら大船接骨院
第5中足骨剥離骨折

第5中足骨骨折(下駄骨折)酸素カプセル療法の症例①|南行徳エコルスタ整骨院 エコルスタはりきゅう整骨院|骨折,痛み・怪我は身体を正しく使える様にして治す!千葉県市川市南行徳

足の指の骨折(第五趾末節骨骨折)|神奈川県川崎市の接骨院はむさしなかはら接骨院

中足骨骨折のリハビリ治療

「中足骨骨折」とは?治療期間や全治はどれくらい?

中足骨・足指骨折の後遺症(後遺障害)の解説|等級調査【深田法律事務所】

第5中足骨基部裂離骨折(下駄骨折)(森ファミリー接骨院 名古屋市中川区・港区)
第5中足骨骨折は、基部または骨幹部で起こります。基部に起こる骨折は別名"下駄骨折"ともいわれ、昔下駄を履いたときに足を捻り発生しやすかったためこの名前がついています。 下駄での発症以外では転倒や段差の踏み外し等が原因で起こります。 骨.. 順天堂大学医学部附属順天堂医院 整形外科・スポーツ診療科「Jones骨折・第5中足骨疲労骨折」についてご紹介します。順天堂醫院は、一貫して患者さまに何よりもまず、やさしく、安全で高度の医療を提供すべく努力しております。